インプラント入れ歯
よく噛んで、よく食べて、健康で豊かな生活を
よく噛んで、よく食べて、健康で豊かな生活を

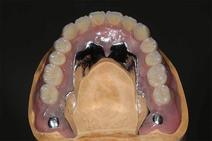
最少2本のインプラントを用いて、入れ歯を固定します。固定されるのでガタつかず、快適に食べ物が食べられます。入れ歯の装着や取り外しは、従来の入れ歯のように患者様ご自身で行えます。

インプラント入れ歯

インプラント入れ歯

維持力があれば、入れ歯を小さくできます。

入れ歯の内面(2カ所で固定。理想は4カ所。)

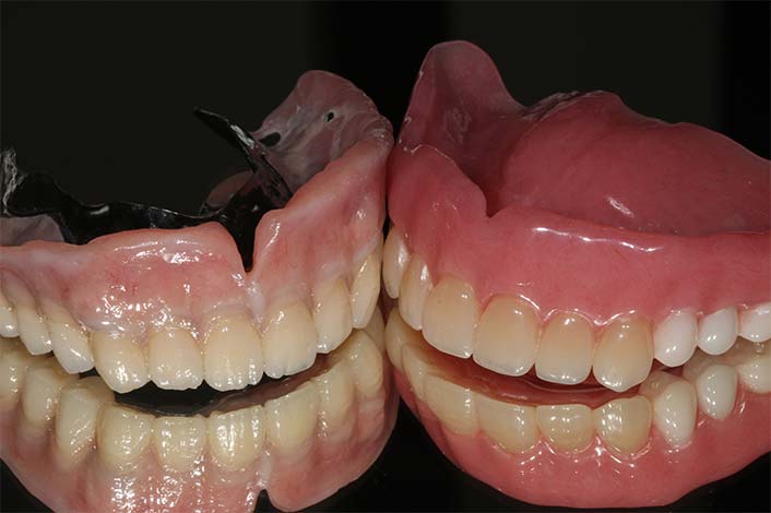
保険の入れ歯との比較(右:保険の入れ歯)
技工所:(株)Vogue
技工士:瀬田 寿樹
よく噛むことは健康への第一歩