笑顔を取り戻す審美歯科
こんなお口に関するお悩みをお持ちではありませんか?
- 笑った時に銀歯が見えてしまう
- 前歯の被せ物の色が気になって、人前でおもいっきり笑えない
- 歯の色や歯並びが気になって仕方がない
保険治療で使える材質は定められており、主に機能を補うための材質で見た目のことはあまり考慮されておりません。
審美歯科によってセラミックなどの材質を使うことで、違和感のない綺麗な口元を手に入れることが可能です。

こんなお口に関するお悩みをお持ちではありませんか?
保険治療で使える材質は定められており、主に機能を補うための材質で見た目のことはあまり考慮されておりません。
審美歯科によってセラミックなどの材質を使うことで、違和感のない綺麗な口元を手に入れることが可能です。
歯や口元の美しさに焦点を当てた総合的な歯科治療です。
ただ『キレイな歯を入れる』や『歯を白くする』ということだけではなく、本来歯の持つ機能を維持、回復させながら治療を行います。
当院では、治療した歯が長期に渡り維持できるよう、治療前にきちんと患者様のかみ合わせを診断してから
・歯の形
・歯の色
・顔と歯のバランス
・スマイルライン(笑ったときの歯の見え方)
・年齢
・性別
などを考慮して、その患者様に合った審美治療を進めていきます。
自由診療は保険が効かないため、保険診療に比べ高額になります。
しかし、高額な分、見た目は天然の歯に近く非常に綺麗な仕上がりになります。また、歯垢(プラーク)が着きにくく、むし歯になりにくいなどのメリットもあります。
患者様のご要望、ご予算に合わせて治療計画をご提案させて頂きます。(医療費控除の対象になる場合があります。)
患者様が治療費、治療計画にご納得頂いた上で、診療を開始していくので、安心して治療を受けて頂くことができます。
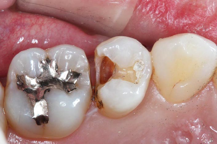
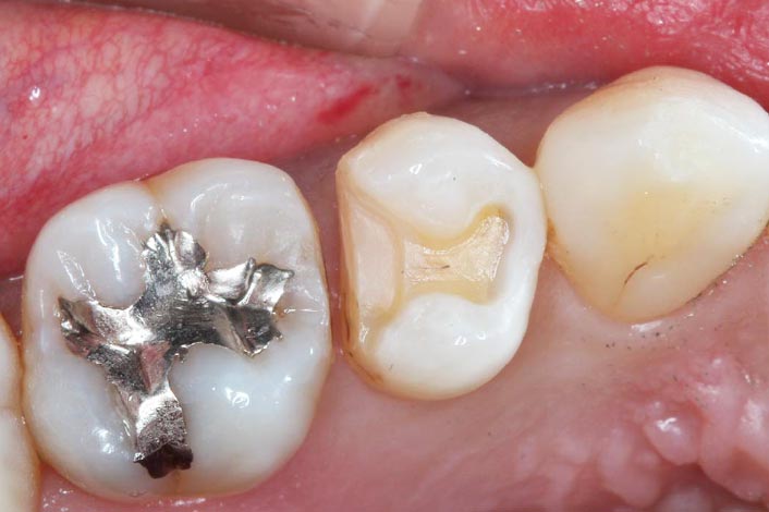
インレーとは部分的な被せ物のことです。写真の銀歯が保険治療のインレーです。

(1)銀歯の下がむし歯になっています

(2)銀歯と歯の境目からむし歯になっていました

(3)むし歯を除去し、形を整えて型採りをします

Before

After
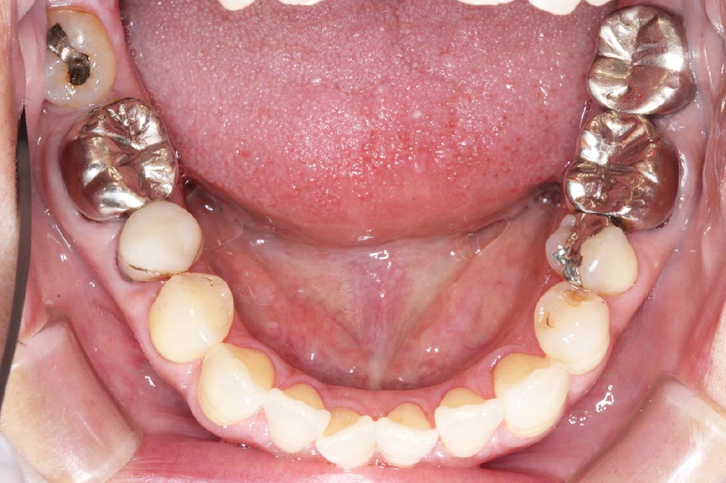
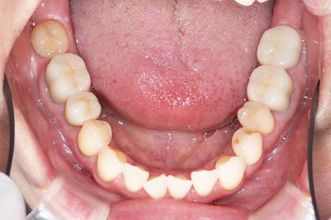
クラウンとは歯を全部覆う被せ物です。

セラミッククラウン

セラミッククラウン
<症例1>
主訴)金属を全てセラミックに変えたい
治療)咬む力が強い方のため、見た目よりも壊れないよう強度の高いジルコニアを選択

Before

After
<症例2>
主訴)奥2本の銀歯がフォークやスプーンが当たるとピリッとする
治療)異なる金属が触れて発生するガルバニー電流を無くすため、ジルコニアクラウンを製作


<症例1>
主訴)保険の被せ物が古くなり、変色と歯との境目が目立つようになったので、前歯4本を治したい
治療)
>①根の治療の不備がある歯は根管治療
②仮歯で患者様の納得の得られる形態を確認
③仮歯と同じ形態でセラミッククラウンを製作

Before

After

<症例2>
主訴)右上の2本の歯の形態の不備と歯の変色(神経が死んでいるため)を治したい
治療)
>①右上の2本を根管治療
②仮歯で治療希望のない左上の2本の歯の形態と合わせた
左上の2本の歯は治療希望がないためそのまま
③仮歯で決定させた形態でセラミッククラウンを製作
Before

After
セラミッククラウンは保険の被せ物とは違い、歯の先端に透明感があり、変色もしません。
汚れや歯垢(プラーク)も付きにくいため、むし歯の再発のリスクを抑えます。
詰め物や被せ物を制作しているのは『歯科技工士』です。
完成した被せ物の仕上がり具合は、この歯科技工士の技術に大きく左右されます。
当院では、実績豊富な技工所と連携しており、患者様に喜んで頂けるような被せ物を制作しております。
