大切なお子さまの生涯の健康のために
お口の健康を守ることが、お子さまの健全な成長すなわち生涯の健康につながります。
むし歯で歯が悪ければ、物をよく噛むことができず、アゴの成長に悪影響を及ぼし歯並びが悪くなります。また、乳歯がむし歯で早いうちに抜くことになれば、永久歯を適切な位置に誘導できなかったり、永久歯の生えてくるスペースを確保できなくなります。
ご家族の方とともに乳歯のうちから、お口の健康の大切さを学んで頂き、むし歯の予防方法を身につけ、習慣化することが重要です。
お口の健康を守ることが、お子さまの健全な成長すなわち生涯の健康につながります。
むし歯で歯が悪ければ、物をよく噛むことができず、アゴの成長に悪影響を及ぼし歯並びが悪くなります。また、乳歯がむし歯で早いうちに抜くことになれば、永久歯を適切な位置に誘導できなかったり、永久歯の生えてくるスペースを確保できなくなります。
ご家族の方とともに乳歯のうちから、お口の健康の大切さを学んで頂き、むし歯の予防方法を身につけ、習慣化することが重要です。

成長過程にあるお子さまのお口の中では、むし歯以外にも正常な発達を阻害するいろいろな問題(指しゃぶり、爪かみなどの悪習癖、口呼吸など)が起こる可能性があります。さまざまな成長段階(歯が生え始める乳幼児期、歯の生え変わる学童期など)に合わせた最適な歯科医療を提供し、歯とお口の正常な機能の成長発達のお手伝いをします。
小児歯科治療での特有の注意点やポイントを熟知した、経験豊富な歯科医師、スタッフが診療を担当します。今まで多くのお子さまが成人され、現在も定期健診で通院して下さっています。また、ママになった患者様もご自分のお子さまのむし歯予防のために通院して下さっております。

児歯科専門の歯科医師、スタッフ
幼い頃の恐怖体験は、大人になっても潜在的に残ってしまうと言われています。
キッズルームにたくさんの絵本やおもちゃがあり、まずはクリニックの雰囲気に慣れさせてあげて下さい。治療中や待っている間にはアニメなどの動画を見ることもできます。また、治療を頑張った後にはおもちゃやくじ引きなどの「ごほうび」のプレゼントもご用意しています。

治療中や待っている間に動画を見てリラックス!

治療を頑張ったら「ごほうび」のプレゼント!
当院では、必要に応じて治療の際にラバーダムというゴム製のマスクを使用します。
※多くの歯科医院では手間がかかるため、使用していないのが現状です。

ラバーダム防湿法
お子さまの年齢や歯並び・歯の生え方に応じた、お口のお手入れの方法や注意すべきポイントをお伝えします。
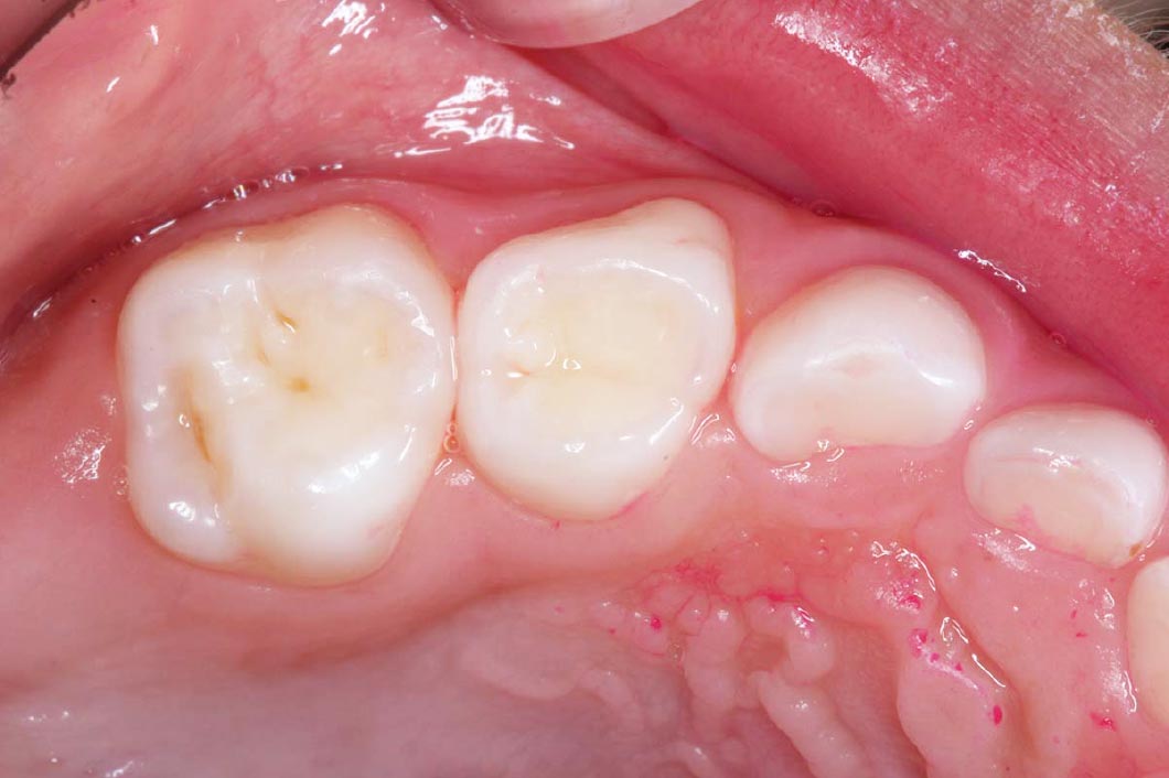
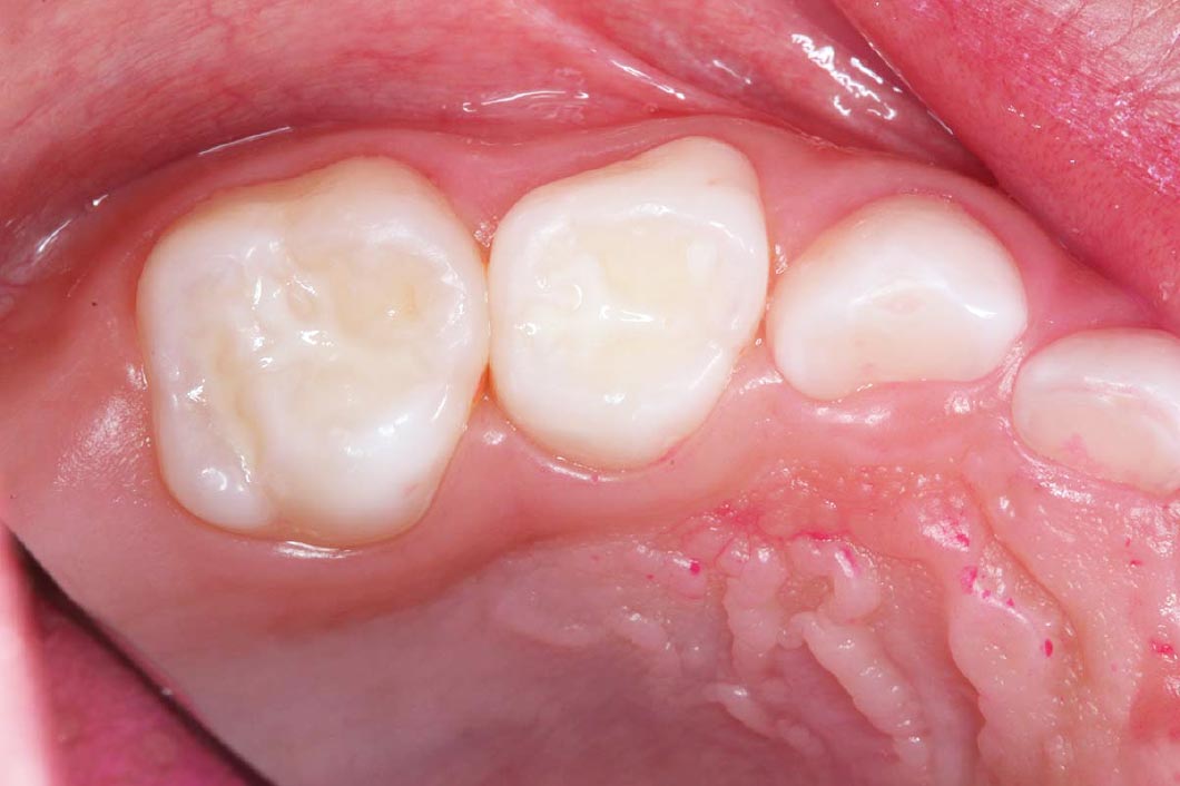
奥歯の溝は複雑な形態をしており、むし歯になりやすい場所です。乳歯や生え始めの永久歯の溝にフッ素を含んだ樹脂を詰めて、食べかすや菌を入りにくくし、むし歯を予防します。

Before

After
歯に高濃度のフッ素を塗布することで、むし歯菌の活動を抑え、再石灰化(歯の強化)を促進させ、むし歯の進行を防ぎます。乳歯や生え変わったばかりの永久歯には特に効果的な予防法です。

むし歯になりやすいお口の環境に影響を与えるのは、お子さまの食生活や生活習慣です。ご家族の方から伺った内容から、むし歯のリスクの高いと思われることから少しずつ改善できるようにお話をします。