ホワイトニング

白い歯は5歳若く見える!?
ホワイトニングはメリットばかり!

白い歯には実年齢よりも若々しく見せるという効果があります。

イギリスの男女2000人を対象に
「人は歯が白い相手に対してどのようなイメージを描くのか?」と、いう調査において
歯が白い人は実年齢よりも5歳くらい若く見られることが判明。

白い歯は人に若く見られるだけでなく、相手に清潔感好印象を与え、さらには一旦ホワイトニングで歯を白くすると、その白さを保とうと日々のケアをしっかり行うようになります。

ホワイトニングは歯に悪くないか心配される方がいらっしゃるかもしれませんが、じつはそのようなことはなく、むし歯菌や歯周病菌を減らす効果がある上、ホワイトニング後は歯を強化する絶好のタイミングなのです。

①1回で効果の出る当院のオフィスホワイトニング

オフィスホワイトニングの多くは海外で開発されたものが多いですが、当院の採用しているティオンホワイトニングは日本のメーカーが開発したものです。欧米人に比べ、歯のエナメル質が薄い日本人向きのホワイトニングです。

一般的に

高濃度の薬剤 = 白くなる = 知覚過敏が起こりやすい

ですが、
ティオンホワイトニングは独自の開発がされており、

低濃度の薬剤 + 漂白効果を高める光触媒 = 白くなる = 知覚過敏が起こりにくい

と、いうようなシステムになっています。
また、ホワイトニングは一度の施術で繰り返し行った方(薬剤を使用する時間が長い)が、効果が高いと言われています。
高濃度のホワイトニング剤では、短時間で歯がしみてくることがあるので、一度の施術で繰り返し行うことができず、何日かに分けてホワイトニングを行う必要があります。
当院のティオンホワイトニングは漂白成分を低濃度に抑える一方、基材(光触媒)を工夫することにより、1回の施術で繰り返し行えることが可能になり、より効果の高い漂白効果と低刺激性を両立したホワイトニングシステムと言えます。

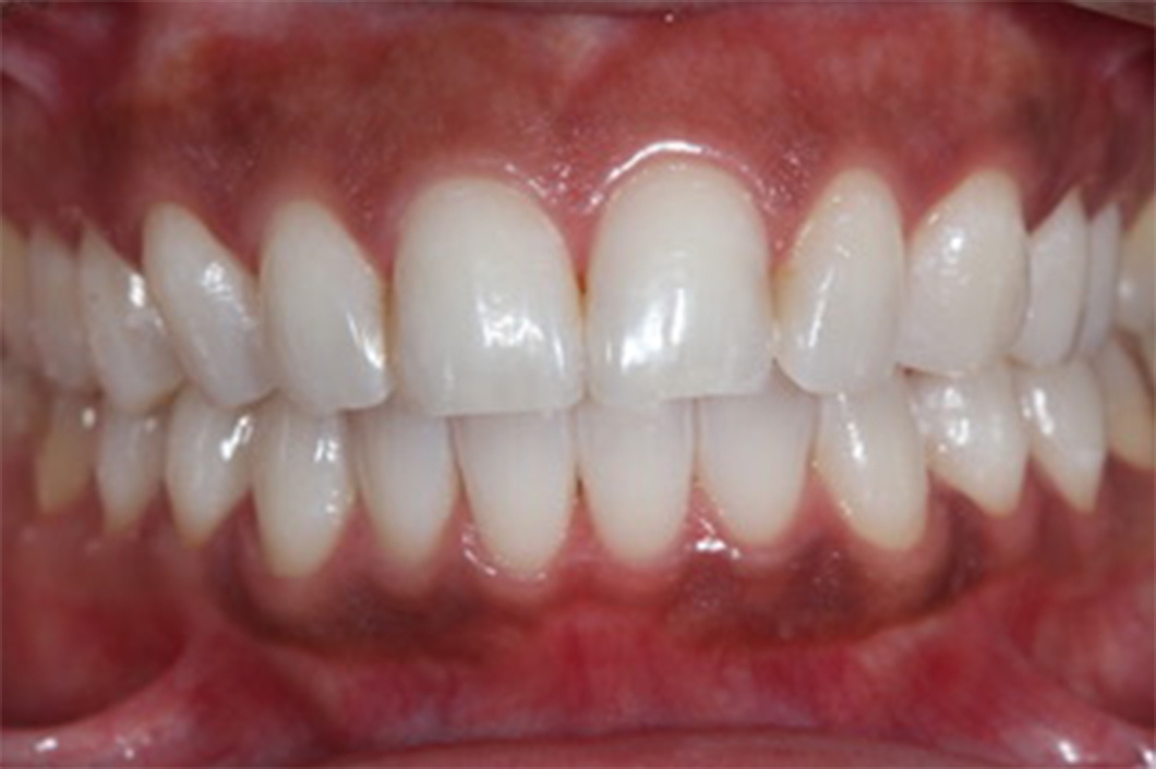
  • 術前
    術前
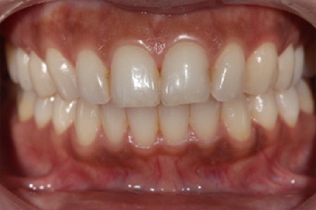
  • 術後
    術後

    ※当院スタッフ
    ホワイトニングは個人により効果が異なります。

②ホームホワイトニング

歯科医院でホームホワイトニング専用のマウスピースを作り、患者様ご自身の好きな時間にご自宅で行えるホワイトニングです。
マウスピースへ薬剤を塗布し、一定時間歯に装着します。
オフィスホワイトニングよりも低濃度なので、1回で白くなるのではなく、毎日少しずつ歯を白くしていきます。

また、一度マウスピースを作ってしまえば、ホワイトニングジェルのみを追加購入していただくだけで、継続して歯を白くすることができます。

ご自身のペースで行え、気軽に行えるというメリットがありますが、マウスピースを装着する時間が長い(2時間ほど)ので、面倒に感じたり短期間で白くしたい方には向かないかもしれません。

③デュアルホワイトニング

オフィスホワイトニングとホームホワイトニングを併用する方法です。

はじめにオフィスホワイトニングで歯を白くし、そこからさらに白くしたい場合や白さを維持したい場合にホームホワイトニングを行いコントロールしていきます。

両方のホワイトニングを行いますので、その分金額が高くなりますが、歯の白さの維持や白さのコントロールをする上では、最良の方法と言えます。

ホワイトニングを行う前に

1.必ず検査・カウンセリングを行い、歯の写真を撮影します

施術部位にむし歯・ひび割れ・重度の歯周病がないかのチェックを行います。
また、白い被せ物や詰め物(C Rレジン)は白くならないため、ホワイトニング後に合わせる必要があります。

術前・術後での歯の色の変化を確認できるよう写真を撮影します。

2.施術前にクリーニングを行います

基本的には歯の表面のクリーニングを行わなくても、ホワイトニングは可能です。
ですが、歯石やタバコのヤニや着色がある場合は十分な効果が期待できないので、それらを除去し、効果がしっかり出る状態にするためにクリーニングを行います。
当院ではEMS社の最新のパウダークリーニングを行います。
細かなパウダー粒子(14μm)をジェット噴射で歯に吹き付けることにより、バイオフィルムや歯垢、ヤニなどの着色を短時間で落とします。
世界的に最適とされているクリーニング方法です。
このパウダークリーニングにより、歯の表面にあるペリクルという膜を除去することができるので、ホワイトニングの薬剤の歯への浸透力を高めることができます。

3.ホワイトニングを行います

口唇をリップジェルと保湿シートで保護し、歯茎(歯肉)も特殊な材料でホワイトニング剤が付かないようにしっかりと保護します。
その後、ホワイトニング剤を歯の表面に塗布し、漂白効果を高めるために光を6〜12分当てます。(知覚過敏の強い方は時間を短くしたりします。)
これを3セット繰り返し行います。
繰り返す回数が多い方が、漂白効果を高めることに繋がると言われています。

4.歯にミネラルパックを行います

オフィスホワイトニング直後は、普段歯を覆っている透明な「ペリクル」という膜が剥がれた状態なので、歯を強化する絶好のタイミングです。
このペリクルという膜が剥がれた状態は、カルシウムなどのミネラルが歯に吸収されやすく、硬く丈夫にできることがさまざまな研究によって明らかになっております。

ホワイトニングコーディネーターの資格を持った
歯科衛生士が在籍しています

当院には、日本審美歯科学会の「ホワイトニングコーディネーター」の資格を取得した歯科衛生士が多数在籍しております。
ホワイトニングの知識を習得しており、患者様に対して適切な情報提供とアドバイスができる資格です。 。

メインテナンス 白さを維持するために

ホワイトニングを行い、歯が白くなってもその白さは永久的なものではありません。
個人差はありますが、3ヶ月〜半年で再着色が始まります。

白さの維持のため、ホワイトニング後に効果的な歯磨剤の使用や定期的なメインテナンス、またはタッチアップをおすすめ致します。

ホワイトニング料金
(すべて税抜表示)

内容 価格
オフィスホワイトニング 1回の施術で完結 ¥35,000
6ヶ月以内のメインテナンス
(ホワイトニング後用の歯磨剤プレゼント)
¥33,000
ホームホワイトニング ホワイトニング ¥30,000
ホワイトニングジェル(2本) ¥5,000
デュアルホワイトニング オフィスホワイトニング + ホームホワイトニング
(-10,000円引)
¥55,000