予防に勝る治療はありません
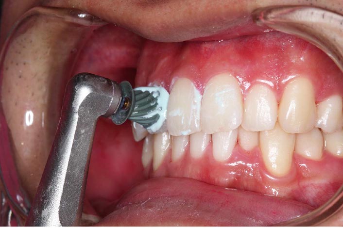
「予防歯科」とは、むし歯や歯周病になってからの治療ではなく、なる前の予防を大切にすることです。欧米ではすでに「定期健診」を受けることが習慣になり、家庭では歯科医院で教わった歯磨きの方法を実践して、歯の健康維持を心掛けています。
日本では、10年ほど前からよく耳にするようになりましたが、実践している人はまだ少なく約20%ほどだと言われています。(予防の進んでいるスウェーデンでは約80%)
体験された方も多いと思いますが、ただ治すだけでは、むし歯や歯周病は再発します。そして、再発を繰り返すほど状況は悪くなってしまいます。こういう悪い連鎖を断ち切るためにも「予防」が必要なのです。
![「[プロケア]歯科医院での定期健診 お口のチェックと歯科衛生士によるクリーニング」「[セルフケア]ご自宅での毎日の歯磨き 定期健診などで得た予防法の実践」](img/img_care.png)









